
At Only Smiles Dental Clinic, we offer a wide range of treatments to all our patrons. Whether it is bleaching treatment, laser treatments, implants, or immediate dentures, all services are delivered in the most pain-free and comfortable manner, at the hands of our experienced and skilled dentists.
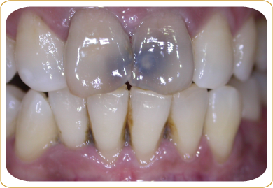
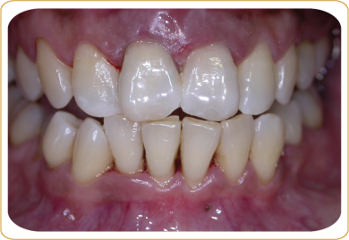
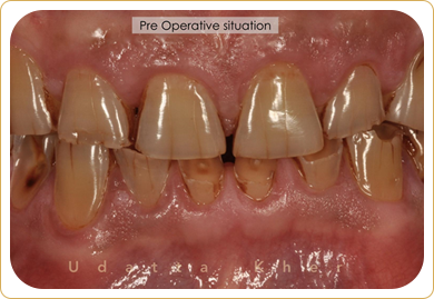
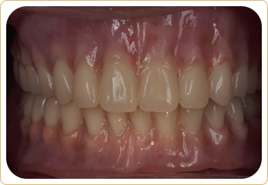
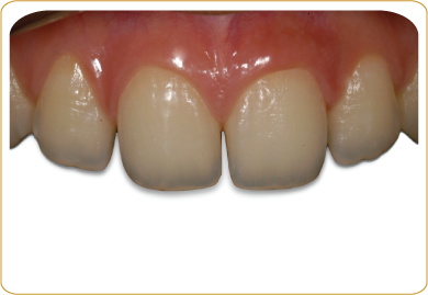
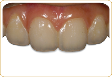
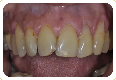
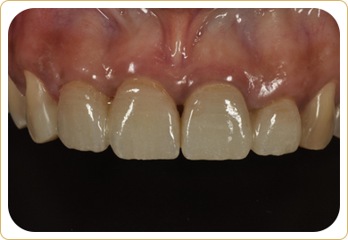
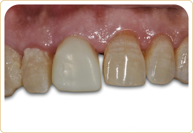
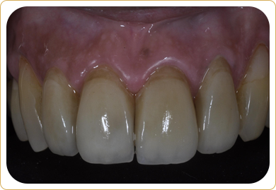
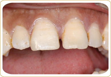
Smile designing essentially means artistically enhancing a person's overall appearance by perfectly aligning the teeth in the aesthetic zone, improving the colour, and creating beautiful, natural looking smiles, in a very short time. The best results can be achieved by performing a combination of procedures such as tooth whitening, laser re-contouring, orthodontic treatment, and the newest generation of ceramic veneers and crowns. Smile design eventually also helps restore dental health apart from just the appearance.
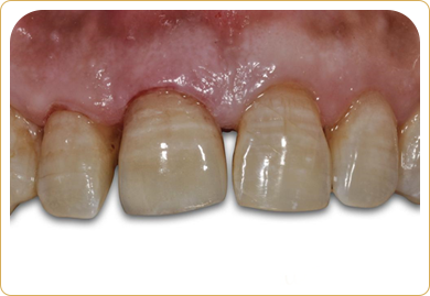
Laser is an effective and efficient tool for performing minimally invasive surgical procedures. The advantages are that it can replace the scalpel for cutting into tissues, and avoid the need for suturing. It also minimizes pain and bleeding during the procedure, and reduces healing the time. Dr. Udatta Kher has received his Diploma in Laser Dentistry from Aachen University, Germany, and is a Founder Member of the 'Indian Academy of Laser Dentistry'. He is the pioneer in this field and has conducted numerous workshops and lectured extensively on the subject throughout the country.


Tooth whitening is done in two phases - the first involves, scaling/ cleaning of the teeth with an ultrasonic scaler. This procedure is pain-free, and removes external stains and tartar present on the teeth. The next phase includes whitening the teeth using a bleach gel, to lighten the colour of the teeth. In our practice, we only use the home bleaching system, wherein we provide the patient with customised dental trays, onto which the bleach gel (also provided by us) can be dispensed. The patient performs the procedure at home at his/her convenience. The home bleach gels are milder and safer compared to the office bleach gels.
Veneers are thin shells made of resin composite material or porcelain, and are directly bonded onto the tooth surface. Resin veneers are made chairside by the dentist, while ceramic veneers are made in a laboratory.
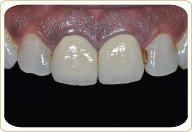
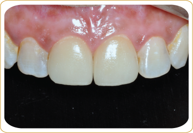
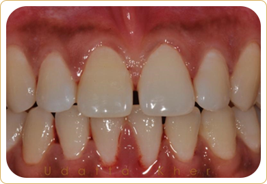
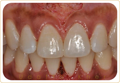
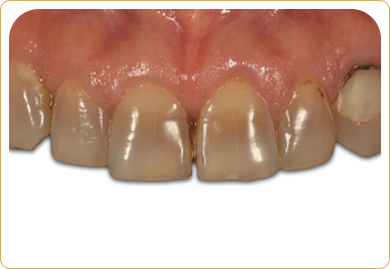
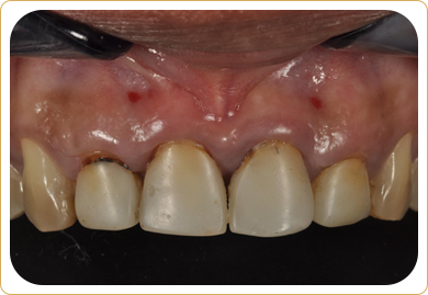
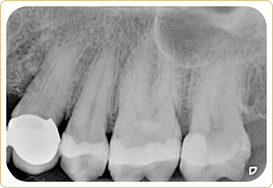
Dental crowns are used to restore broken or fractured teeth, which are beyond restoration by dental fillings. They are also recommended post root canal treatment to protect the tooth. Crowns are made by marginally trimming the existing tooth structure to create space for fitting the crown. Traditionally, crowns were made in stainless steel, but due to their poor appearance, soon these crowns were coated with a layer of porcelain to mimic tooth colour. The newest generation of crowns are made of zirconia or lithium disilicate. These materials are excellent for their aesthetic appearance, as they are translucent and very life-like.
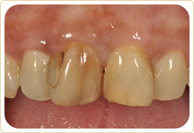
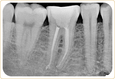
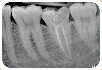
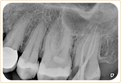
Root canal or endodontic treatment is done to treat teeth in which the pulp (nerve) tissue of the tooth is damaged or infected. The causes for this nerve damage could be severe trauma, or deep decay in the tooth, causing the patient pain and discomfort. The procedure usually takes on hour, and is usually completed in one or two sittings. It is done under local anaesthesia and is pain-free. Root canal treatments allow the patients to retain their natural teeth instead of opting for extraction.




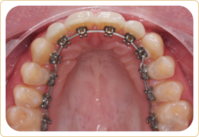
Orthodontics refers to co correcting malocclusion to improve overall aesthetics and oral function. It involves use of metal or ceramic braces, or clear aligners. Dr. Rohit Mehrotra, our specialist Orthodontist, has been achieving brilliant results over the years.
Composite is a tooth-coloured resin material which mimics the natural appearance of teeth and is used to restore decayed or fractured teeth. Since it blends in with the tooth so well, it is also used for aesthetic enhancement of the teeth in some cases. These materials are strong and durable, and are an excellent option for immediate smile design and resin veneers for front teeth.


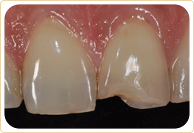
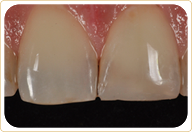
In certain cases of trauma, when a part of a tooth chips off from the whole, the patient is advised to keep the broken piece safe, preferably in saline or milk, so that the dentist can bond the original piece back onto the patient's tooth.


Maryland bridges essentially are made to bridge the gap created by one or more missing teeth. The missing tooth/teeth are replaced by artificial ones using the support of the adjacent teeth.


Full mouth rehabilitation refers to complete renovation and rebuilding of a person's worn out or destroyed dentition, in order to restore the health, function and aesthetics of the patient. The dentist may choose a combination of different treatment modalities such as root canals, implant placements, orthodontics, crowns and bridgework etc., to execute the rehabilitation. Dr. Udatta has gathered years of experience and expertise in successfully reconstructing the teeth and tissues in such complex cases.




These are essentially implant-supported dentures which can be fixed in the mouth permanently, and are far superior to conventional dentures. Currently this is the best treatment option for patients without any natural teeth in the mouth.


Laser is an effective and efficient tool for performing minimally invasive surgical procedures. The advantages are that it can replace the scalpel for cutting into tissues, and avoid the need for suturing. It also minimizes pain and bleeding during the procedure, and reduces healing the time. Dr. Udatta Kher has received his Diploma in Laser Dentistry from Aachen University, Germany, and is a Founder Member of the 'Indian Academy of Laser Dentistry'. He is the pioneer in this field and has conducted numerous workshops and lectured extensively on the subject throughout the country.


Laser is an effective and efficient tool for performing minimally invasive surgical procedures. The advantages are that it can replace the scalpel for cutting into tissues, and avoid the need for suturing. It also minimizes pain and bleeding during the procedure, and reduces healing the time. Dr. Udatta Kher has received his Diploma in Laser Dentistry from Aachen University, Germany, and is a Founder Member of the 'Indian Academy of Laser Dentistry'. He is the pioneer in this field and has conducted numerous workshops and lectured extensively on the subject throughout the country.


Laser is an effective and efficient tool for performing minimally invasive surgical procedures. The advantages are that it can replace the scalpel for cutting into tissues, and avoid the need for suturing. It also minimizes pain and bleeding during the procedure, and reduces healing the time. Dr. Udatta Kher has received his Diploma in Laser Dentistry from Aachen University, Germany, and is a Founder Member of the 'Indian Academy of Laser Dentistry'. He is the pioneer in this field and has conducted numerous workshops and lectured extensively on the subject throughout the country.


Laser is an effective and efficient tool for performing minimally invasive surgical procedures. The advantages are that it can replace the scalpel for cutting into tissues, and avoid the need for suturing. It also minimizes pain and bleeding during the procedure, and reduces healing the time. Dr. Udatta Kher has received his Diploma in Laser Dentistry from Aachen University, Germany, and is a Founder Member of the 'Indian Academy of Laser Dentistry'. He is the pioneer in this field and has conducted numerous workshops and lectured extensively on the subject throughout the country.


Laser is an effective and efficient tool for performing minimally invasive surgical procedures. The advantages are that it can replace the scalpel for cutting into tissues, and avoid the need for suturing. It also minimizes pain and bleeding during the procedure, and reduces healing the time. Dr. Udatta Kher has received his Diploma in Laser Dentistry from Aachen University, Germany, and is a Founder Member of the 'Indian Academy of Laser Dentistry'. He is the pioneer in this field and has conducted numerous workshops and lectured extensively on the subject throughout the country.






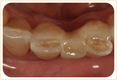
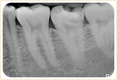
When teeth decay, they can be restored with tooth-coloured or composite fillings. Composites are essentially resin materials which mimic all the qualities of a natural tooth. They are durable, wear-resistant, and give a very natural appearance to the tooth.
Copyright Only Smiles Dental Centre © 2015 | Crafted by Togglehead
